【記者 玉女 台中 報導】
22歲鄭姓男大生1年多前車禍致右大腿和骨盆連接處的右髖臼粉碎性骨折,外院手術後長達6個月時間臥床、完全無法自理生活,髖臼也遲遲無法復原,右膝蓋以下就像24小時通電般持續麻痛,合併腳板垂足「腳不舉」,最後在親友協助下至光田綜合醫院骨科就醫,骨科醫師們透過2次手術給予「置換人工關節」、「神經鬆解」及「肌腱轉移」3階段治療,讓他擺脫床鋪重拾行走能力、恢復生活,完成學業且投入工作。
收治男大生的光田綜合醫院骨科醫師、手外科暨顯微重建科主任楊鎮源指出,髖臼形狀如碗,主要覆蓋圓球型的股骨前端穩定髖關節,方能跑跳行走。髖臼骨折主要是受到外力強大衝擊破裂,例如車禍、墜樓。由於髖臼在身體深處且緊鄰內臟、神經,不易修復,且術後出現創傷性關節炎及坐骨神經損傷的風險相對高,而男大生在外院進行骨折手術後幾乎出現所有併發症。
「不僅不能走,我只能一直躺著!」男大生說明車禍後自己長期臥床,復原不理想,連續手術2-3次都無改善,全家人束手無策十分擔憂,決定陪同他以輪椅代步求醫。
光田綜合醫院骨科部長李芳材檢查,發現病人髖關節已經嚴重損壞位移失去功能,而且長期錯位、加速軟骨磨損造成關節疼痛與長短腳,同時也壓迫病人坐骨神經,造成右腳麻痛難耐,以及更糟的右腳板垂足,讓他無法舉步行走。
為讓男大生恢復走路重拾生活品質,李芳材、楊鎮源協同關節重建科主任蕭敬樺共同擬定手術計畫。蕭敬樺醫師解釋,首先為病人置換人工髖關節考量其髖關節因錯位有嚴重骨缺損,髖臼就像破了洞的碗,醫師透過院內骨骼銀行異體骨移植填補破洞後,再置換人工髖關節到正確位置,讓髖關節恢復功能同時也一併改善長短腳。
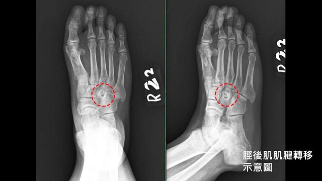
第2階段由楊鎮源醫師施以神經鬆解手術,將受傷的坐骨神經與周圍嚴重沾黏的纖維化組織仔細分開,達到神經減壓目的,緩和右腳持續電麻感。最後進行肌腱轉移手術,將脛後肌肌腱繞道固定至足背骨頭,加強腳掌背屈的力量,改善垂足。階段性的關節重建、神經鬆解、肌腱轉移手術,有效地改善了病人的麻痛感,恢復走路能力可自理生活,目前只要定期回診即可。
鄭男說,手術後1個月自己就能夠起身行走,重返校園完成學業,現在甫踏入職場,家人也放下心中大石,恢復狀況也越來越好,可以短暫小跑步,心情也放鬆許多。
交通部自9月起實施「路口安全大執法」,盼能降低車禍事故傷害,根據統計108年就有1800多人因車禍事故身亡,而骨折又是車禍碰撞最常見的傷害之一,醫師提醒民眾別以為骨折很常見就認為沒有關係,骨骼修復時間至少都要3-6個月不等,粉碎性或複雜骨折重建則需要更多時間,還可能帶來無法擺脫的併發症如神經損傷、骨折癒合不良、傷口感染不癒合、骨髓炎等,民眾出入交通一定要留意安全。






